Estética Dental

TRATAMIENTOS - ESTÉTICA DENTAL

Blanqueamientos

La utilización de materiales blanqueantes para mejorar la estética de los dientes es muy antigua. Hay innumerable y falsas leyendas sobre materiales milagrosos. En nuestra clínica, sólo utilizamos materiales y técnicas seguras y recomendadas por la literatura científica. Ya sea con protocolos de aplicación en clínica por parte de las profesionales o de forma ambulatoria, estos productos consiguen muy buenos resultados.

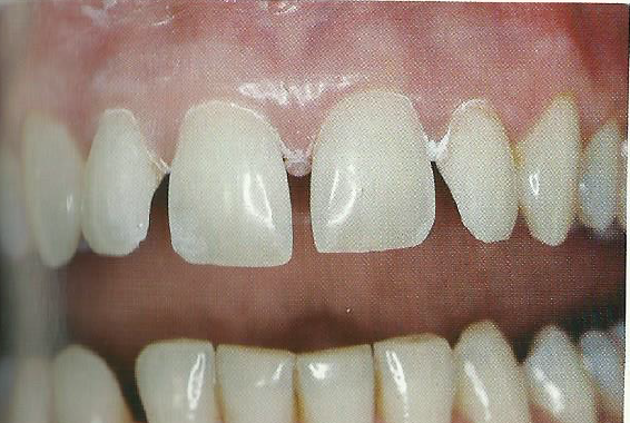
Carillas de Porcelana

Es un tratamiento muy poco invasivo (hay que tallar muy poco diente) que se emplea, sobre todo, para tratamientos de estética dental. Después de más de 25 años utilizando está técnica, podemos asegurar que es segura, muy satisfactoria y mantiene los magníficos resultados estéticos durante muchos años.

Composites

Es el material más empleado en la Odontología Restauradora, en el tratamiento de las caries dentales habiendo sustituido a la amalgama de plata.

Entre sus ventajas destacan su magnífica estética, la resistencia a la masticación y el hecho de que se adhieren a los dientes, contribuyendo al refuerzo de los mismos. Utilizamos composites y adhesivos dentinarios de primeras marcas a nivel mundial.

120 Dental Street

San Francisco, CA 94111

800-555-DENTIST

Call us today!

Opening Hours

Mon - Fri: 8:00 - 17:00

Appointment Booking

example@email.com